What People Say about Luna Dentistry

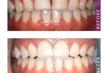
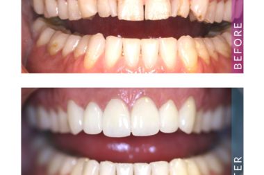
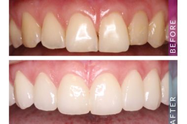
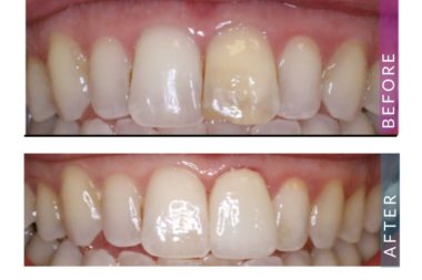
Our practice is unique in that we provide a range of preventative dental care services, cosmetic dentistry, and treatments that require more complex procedures such as periodontics and orthodontics in both our locations. Complex procedures are all done under one roof. We have been providing family and cosmetic dental care for over twenty years including emergency services. Our practice is collaborative amongst our practitioners. We provide premier services in smile design, cosmetic dentistry, crowns and bridges, veneers, surgeries, implants and orthodontics. We offer two locations to provide service across the GTA – Richmond Hill & Midtown Toronto.
Patients are able to visit either office, as all records are digital and we can manage your treatment plan from either location.
Luna Dentistry Services
New Patients
Welcome!
New patients welcome at both
our locations. You can use
either location as time and
convenience permit while
receiving the same
consistent care.
Getting ready to
visit the dentist?
We are often asked from
new parents when
should their child
first visit the dentist?








